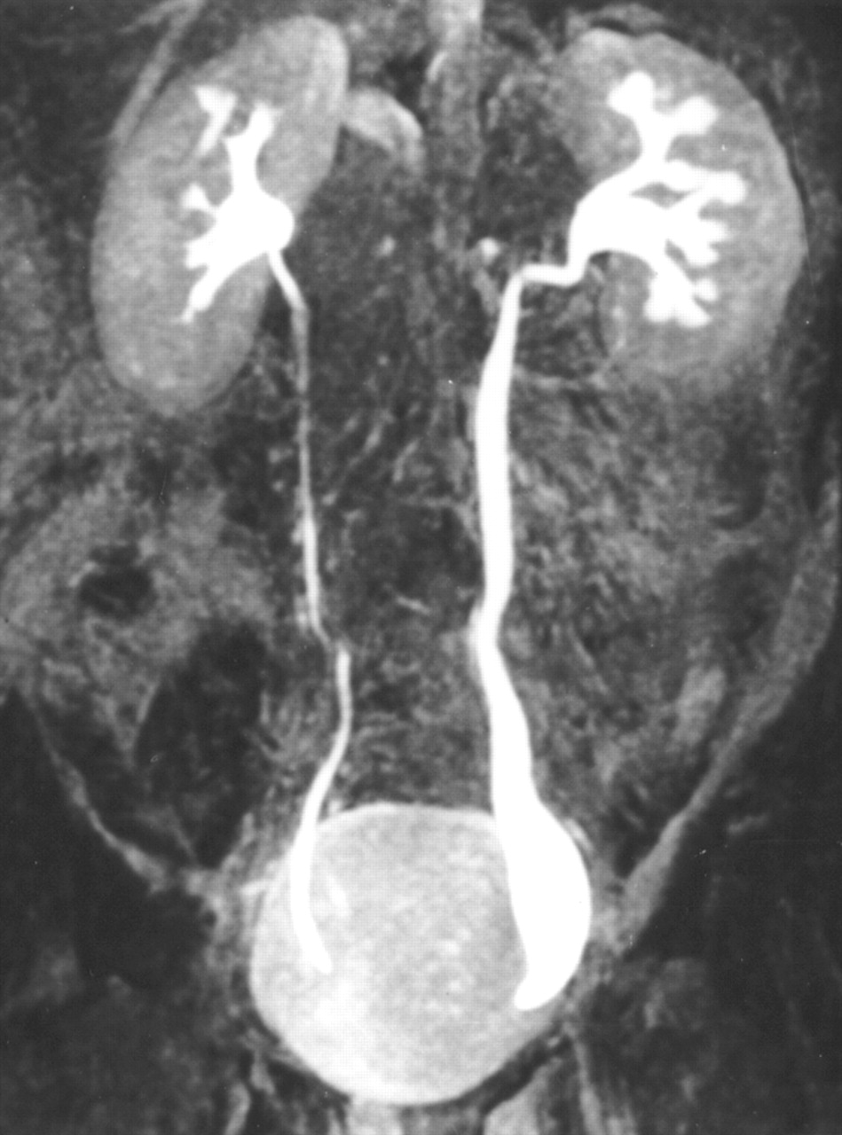
Per megauretere in campo medico, si intende un'anomalia che riguarda la grandezza dell'uretere che risulta più ampio della normale condizione.
Tipologia
Secondo parte della letteratura medica esistono due forme:
- Megauretere da reflusso
- Megauretere idiopatico
Bibliografia
- Joseph C. Segen, Concise Dictionary of Modern Medicine, New York, McGraw-Hill, 2006, ISBN 978-88-386-3917-3.
Voci correlate
- Uretrite
- Atresia anale
- Metodiche radiologiche per lo studio dell'apparato urinario
Collegamenti esterni
- (EN) megalo-ureter, su Enciclopedia Britannica, Encyclopædia Britannica, Inc.




